Diduga Malpraktik, Ketua FABEM Riau Akan Polisikan Oknum Dokter di RSUD Teluk Kuantan
KUANSING, RANAHRIAU.COM - Lagi-lagi, oknum dokter di Rumah Sakit Umum Daerah (RSUD) Teluk Kuantan, diduga kembali melakukan tindakan malpraktik, pada Kamis, (16/01/2025) pekan lalu.
Dugaan malpraktik kali ini dialami Bilal Maulana (9 tahun) warga desa Sako Margasari, kecamatan Logas Tanah Darat (LTD).
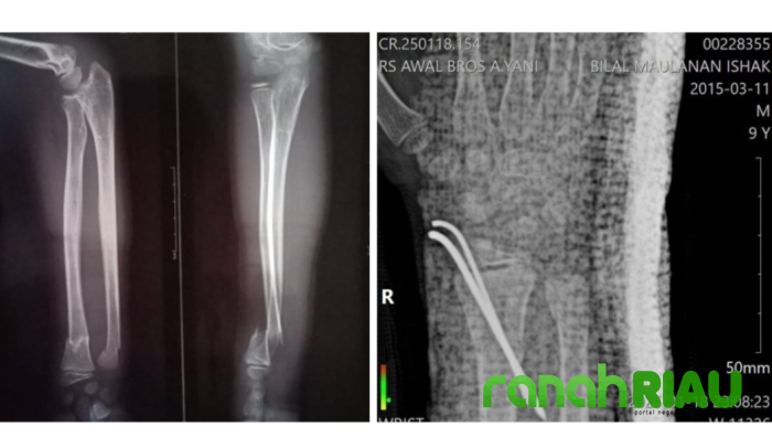
Dari hasil pemeriksaan, ternyata korban mengalami patah tulang tangan setelah terjatuh dari mobil dump truk ketika bermain dengan teman-temannya.
Murniati selaku ibu korban ketika dikonfirmasi awak media menyebut, Bilal sempat menjalani operasi di rumah sakit umum daerah (RSUD) Teluk Kuantan pada Kamis (16/01/2025) yang ditangani oleh dokter RY.
" Iya, sudah dilakukan operasi RSUD Teluk Kuantan. Setelah dioperasi, Bilal kembali dironsen, tapi kata dokter posisi tulang nya gak bisa kembali. Emang harus dipasang Pen. Kan di RSUD cuma dipasang gips oleh dokter," papar Murniati.
Setelah operasi di RSUD Teluk Kuantan gagal, sambung Murniati, kemudian dokter RY merujuk Bilal ke rumah sakit Awal bros Ahmad Yani pada tanggal 18 Januari 2025 untuk menjalani operasi kedua.
" Alhamdulillah setelah operasi ke dua di RS Awal Bros Ahmad Yani, posisi tulang sudah kembali, karena dokter sudah memasang pen. Tanggal 20 kemarin itu sesuai hasil rekam medis nomor 00228355 departemen pucuk rebung/361, yang diterima oleh dr. Petrus Aprianto, SpOT., AIFO-K, FICS, Bilal sudah diperbolehkan pulang. Dengan catatan, tanggal 31 Januari nanti kami ke Pekanbaru lagi untuk melakukan kontrol," pungkasnya.
Terkait adanya dugaan malpraktik tersebut, ketua Forum Alumni Badan Eksekutif Mahasiswa Riau (FABEM-Riau), Heri Guspendri, SP., M.Sos akan segera melaporkan oknum dokter RY ke Mapolres Kuansing, dan meminta penyidik polres Kuansing untuk berkoordinasi dengan kejaksaan dan Majelis Kehormatan Disiplin Kedokteran Indonesia (MKDKI).
" Ya, jika terbukti oknum dokter tersebut melakukan Malpraktik, maka kita berharap aparat kepolisian untuk mengenakan sanksi pidana kepada RY sebagai tenaga medis atau tenaga kesehatan yang melakukan kelalaian didasarkan atas pasal 440 ayat (1) Jo Pasal 285 UU No 17 tahun 2023 tentang kesehatan," Tukas Heri Guspendri, SP., M.Sos menandaskan.
Berdasarkan catatan ranahriau.com, dugaan malpraktik yang dilakukan dokter RY kali ini merupakan kejadian yang kedua kalinya setelah menangani pasien yang menderita tumor payudara di RSUD Teluk Kuantan.
Sebab, berdasarkan hasil pemeriksaan histologi di laboratorium amanah Pekanbaru pada tanggal 21 mei 2024, tidak dijumpai tanda-tanda keganasan pada tumor payudara pasien yang berinisial IA tersebut.
Kendati demikian, masih untung keluarga pasien saat itu tidak memperkarakan dr RY kepada aparat penegak hukum, bahkan pasien telah mengikhlaskan tindakan yang diduga malpraktik tersebut.
Hingga berita ini diterbitkan, pihak rumah sakit umum Daerah (RSUD) Teluk kuantan, maupun dokter yang menangani pasien tersebut, masih dalam tahap konfirmasi.


Komentar Via Facebook :